お客さまの声
大阪大学大学院医学系研究科 伊藤大介様へのインタビューをご紹介(2/2)
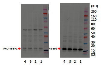
目的タンパク質とノンスペとの区別に便利
ECL™SelectLAS500はウェスタンブロッティングのバンドと同時に、有色分子量マーカーのバンドをカラーで撮影でき、ノンスペと目的タンパク質の区別に便利です。これが2つ目のおすすめポイントです。
今まではメンブレンとX線フィルムを重ね合わせ、有色分子量マーカーの位置をフィルムに書き写していました。それだとバックグラウンドが高く、フィルムが全体的に黒くなってしまったときなど書き写すのが困難です。また、メンブレンとフィルムがずれてマーカーの位置もずれてしまうと目的タンパク質のバンドとノンスペとの判断がつきかねることがありました。
ECL™SelectLAS500なら有色分子量マーカーのバンドが同時に撮影できるので、位置がずれることもなく、正確に目的タンパク質の分子量を確認できます。
※お客さまの使用経験に基づく記載です。

画像をクリックしていただくと拡大図がご覧いただけます。
図1 ECL™SelectLAS500で撮影したウェスタンブロッティング画像
伊藤様のご研究紹介:
神経発生における神経軸索伸長のガイダンス因子とされていたセマフォリンが、B細胞及び樹状細胞の活性化を促進すること、リンパ球が活性化されると膜表面から生理活性を有した可溶性 CD100/Sema4Dが遊離することなど免疫系での役割を明らかにしました。CD100/Sema4DやSema4A に加え、心臓の初期発生や骨の恒常性に関与するSema6Dなどのセマフォリンの役割も新たに見出し、これら「免疫セマフォリン分子群」に関する免疫調節機構の解析を行っています。
大阪大学 呼吸器・免疫アレルギー内科 感染病態グループのホームページ